Тактика первой линии лечения при de novo метастатическом раке молочной железы в постменопаузе
Тактика 1 линии лечения при de novo метастатическом раке молочной железы в пременопаузе
Пациентка Клавдия Васильевна, 63 года.
Проживает в сельской местности, много времени уделяет своему огороду. У участкового терапевта бывает редко. Последнее обращение за медицинской помощью в рамках программы «Поезд здоровья» 2 года назад.
Анамнез болезни
Обратилась за медицинской помощью по поводу новообразования правой молочной железы. Новообразование у себя обнаружила самостоятельно. Пациентка затрудняется ответить, когда появилось новообразование.
Из анамнеза известно, что периодически пациентку беспокоил дискомфорт в грудной клетке слева. Появление жалоб связывала с «остеохондрозом, который диагностировали в поликлинике».
Также ранее отмечала жалобы на болезненность в области крестца и тазобедренного сустава слева. Для снятия болевого синдрома принимала Ибупрофен 400 мг, с умеренным положительным терапевтическим эффектом.
Обследования
По результатам общего медицинского осмотра: в правой молочной железе пальпируется образование диаметром до 4 см. В подмышечной области справа отмечается регионарная лимфаденопатия, пальпируется лимфатический узел размерами до 2 см в диаметре.
Результаты УЗИ молочных желез и регионарных лимфоузлов, указывают, вероятнее всего, на злокачественную природу новообразования:
-
образование молочной железы имеет неоднородную структуру, неровные и несимметричные края
-
регионарные лимфатические узлы увеличены в размерах по короткой оси
Рис. 1 — результаты УЗИ молочных желез и регионарных лимфоузлов. На слайде слева новообразование молочной железы. Отмечается неоднородность новообразования, неровность и несимметричность краев. На слайдах справа — фрагменты с изображением двух регионарных лимфатических узлов. На злокачественность изменений намекает увеличение размеров лимфоузлов по короткой оси.
Вы направляете пациента на консультацию к хирургу с целью выполнения УЗИ-ассистированной трепан-биопсии новообразования молочной железы и лимфатических узлов.
Выполнена биопсия новообразования молочной железы, материал опухоли отправлен на морфологическое исследование. По результатам гистологического и иммуногистохимического исследования:
-
неспецифицированная протоковая карцинома молочной железы, Grade 2, ER — 8, PR — 8, HER2/neu — 0 (отсутствие мембранной экспрессии), Ki-67 — 35%: люминальный В, HER2-негативный рак молочной железы.
По результатам обследования складывается картина местно-распространенного рака молочной железы (cT2N2), люминальный В, HER2-негативный подтип. Однако вас настораживает несколько факторов:
-
объем опухолевого поражения
-
жалобы пациентки на наличие дискомфортных и болезненных ощущений в зоне левой половины грудной клетки. Безусловно, симптомы схожи с проявлением ишемической болезни сердца. Но пациентка описывает боли как постоянные, притупленные и не связанные ни с какой физической нагрузкой, и при этом болевой синдром уменьшаются при приеме НПВП. Не похоже на стенокардию, правда?
-
кроме того, пациентка отмечает жалобы на боли в зоне крестца и левого тазобедренного сустава
Наличие верифицированного диагноза рака молочной железы в данном случае выступает причиной для проведения дополнительных методов обследования. Цель дообследования — исключить или подтвердить наличие вторичного метастатического поражения.
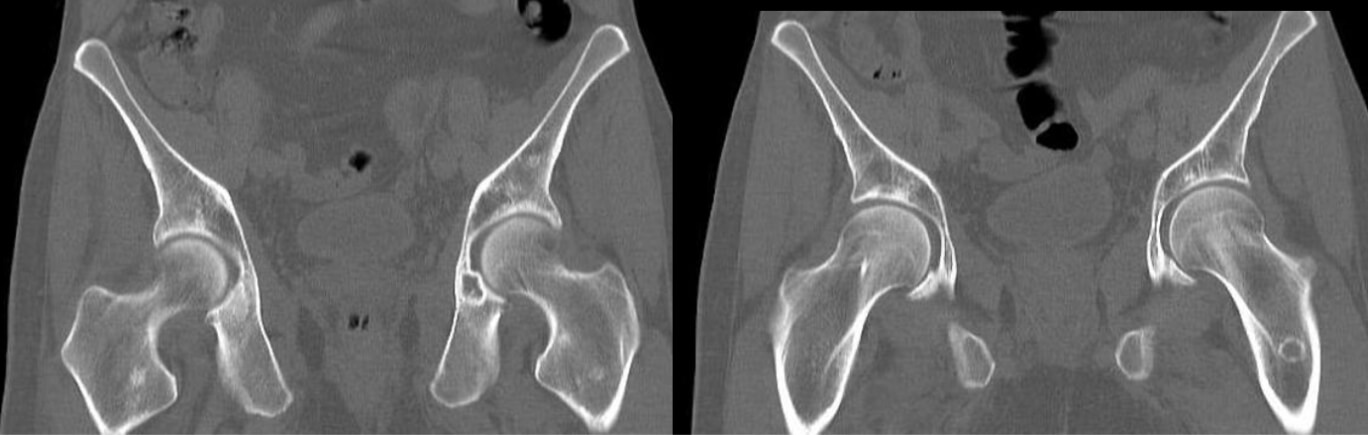
Результаты компьютерной томографии органов грудной клетки, брюшной полости и малого таза с внутривенным контрастированием убеждают вас в наличии у пациентки диссеминированного характера заболевания с метастатическим поражением костей:
Рис. 2 — МСКТ органов малого таза с внутривенным контрастированием. Отмечается литическое поражение левой вертлужной впадины, правой вертлужной впадины, проксимального отдела бедренной кости.
Картина смешанного (бластического и литического) поражения была обнаружена в зоне крестца и в области поясничного отдела позвоночника:
Рис. 3 — МСКТ органов малого таза с внутривенным контрастированием. Отмечается литическое и склеротическое поражение скелета области крестца и поясничного отдела позвоночника.
Нашлось объяснение и болевым ощущениям в зоне левой половины грудной клетки:
Рис. 4 — МСКТ органов грудной клетки с внутривенным контрастированием. Отмечаются признаки метастатического поражения ребра с мягкотканным компонентом. Нельзя исключить наличие поражения корешков.
Доказательств наличия висцеральных метастазов при обследовании не получено.
Также вы отправили опухолевый материал, полученный при биопсии, на молекулярно-генетическое исследование (ПЦР) с целью оценки мутационного статуса генов BRCA1, BRCA2, PIK3CA. По результатам тестирования: мутаций в указанных генах не обнаружено.
Диагноз
Таким образом, по данным дообследования складывается картина метастатического рака молочной железы cT2N2M1 с метастатическим поражением костей таза, поясничного и грудного отделов позвоночника, проксимального отдела VII ребра слева.
Выбор тактики лечения
Вы пригласили пациентку на консультацию для обсуждения дальнейшей тактики лечения. Пациентка заинтересована в том, чтобы «прожить как можно дольше, мне очень хочется дожить до свадьбы моей ненаглядной дочки». Кроме того, она не менее заинтересована в том, чтобы иметь возможность вести активный образ жизни.
Предложите оптимальную тактику дальнейшего лечения
Принимая во внимание подтип опухоли, с которым столкнулась пациентка — люминальный В рак молочной железы, а также объем опухолевого поражения в виде метастатического поражения костей, отсутствие предшествующего лечения, можно говорить о том, что пациентка действительно нуждается в гормонотерапии.
В качестве гормонотерапии у нелеченных пациенток возможно применение тамоксифена или ингибиторов ароматазы. Эффективность тамоксифена и анастрозола по данным рандомизированного исследования III фазы (J. Bonneterre et al, 2000) в первой линии лечения сопоставима: и там, и там мы ожидаем, что у половины пациенток будет отмечено прогрессирование заболевания примерно через 6 месяцев от начала лечения.
Однако профиль побочных эффектов в виде более высокой частоты тромбоэмболических осложнений и вагинальных кровотечений в группе тамоксифена, делают анастрозол (и ингибиторы ароматазы в целом) более предпочтительной опцией для применения в первой линии терапии.
Аналогичная картина в виде сопоставимой эффективности получена при прямом сравнении тамоксифена с экземестаном в 2008 году.
Однако гормонотерапия в моно-режиме не является на сегодня оптимальной стратегией лечения рака молочной железы в первой линии.
Наиболее оптимальной тактикой дальнейшего лечения выступает проведение гормонотерапии с применением CDK4/6-ингибиторов, так как их сочетание с ингибиторами ароматазы позволяет добиться существенного улучшения выживаемости без прогрессирования для большинства пациенток:
Комбинированная схема также позволяет увеличить шанс на уменьшение опухолевых очагов, о чем свидетельствуют вышеупомянутые исследования. В нашем кейсе это особенно важно ввиду наличия болевого синдрома, ассоциированного с поражением костей.
Данные из исследований II–III фаз, посвященных изучению эффективности комбинации CDK4/6-ингибиторов при добавлении к ингибиторам ароматазы
ЧОО — частота объективного ответа; клиническая польза включает в себя частоту достижения полного и частичного регресса опухолевых очагов, стабилизацию, уменьшение выраженности симптомов заболевания
Принимая во внимание подтип опухоли, с которым столкнулась пациентка — люминальный В рак молочной железы, а также объем опухолевого поражения в виде метастатического поражения костей, отсутствие предшествующего лечения, можно говорить о том, что пациентка действительно нуждается в гормонотерапии.
Исходя из существующих исследований, наиболее оптимальной тактикой дальнейшего лечения выступает проведение гормонотерапии с применением CDK4/6-ингибиторов, так как их сочетание с ингибиторами ароматазы позволяет добиться существенного улучшения выживаемости без прогрессирования для большинства пациенток:
Комбинированная схема также позволяет увеличить шанс на уменьшение опухолевых очагов, о чем свидетельствуют вышеупомянутые исследования. В нашем кейсе это особенно важно ввиду наличия болевого синдрома, ассоциированного с поражением костей.
Данные из исследований II–III фаз, посвященных изучению эффективности комбинации CDK4/6 — ингибиторов при добавлении к ингибиторам ароматазы:
ЧОО — частота объективного ответа; клиническая польза включает в себя частоту достижения полного и частичного регресса опухолевых очагов, стабилизацию, уменьшение выраженности симптомов заболевания
Показатели выживаемости без прогрессирования и частоты объективного ответа во всех исследованиях с CDK4/6-ингибиторами в первой линии сопоставимые.
Однако нам следует принять во внимания приоритеты пациентки. Они заключатся в том, чтобы «прожить как можно дольше» с ее заболеванием. Ввиду чего нам следует, при выборе терапии обратиться к данным об общей выживаемости пациенток, получающих ингибиторы ароматазы вместе с CDK4/6-ингибиторами в первой линии терапии.
ЧОО — частота объективного ответа; клиническая польза включает в себя частоту достижения полного и частичного регресса опухолевых очагов, стабилизацию, уменьшение выраженности симптомов заболевания
И в контексте этой конечной точки, палбоциклиб, к сожалению, не является оптимальным вариантом терапии: добавление палбоциклиба к ингибиторам ароматазы в первой линии терапии HR + рака молочной железы не привело к улучшению общей выживаемости.
(PALOMA-2)
Принимая во внимание подтип опухоли, с которым столкнулась пациентка — люминальный В рак молочной железы, а также объем опухолевого поражения в виде метастатического поражения костей, отсутствие предшествующего лечения, можно говорить о том, что пациентка действительно нуждается в гормонотерапии.
Исходя из существующих исследований, наиболее оптимальной тактикой дальнейшего лечения выступает проведение гормонотерапии с применением CDK4/6-ингибиторов, так как их сочетание с ингибиторами ароматазы позволяет добиться существенного улучшения выживаемости без прогрессирования для большинства пациенток:
Комбинированная схема также позволяет увеличить шанс на уменьшение опухолевых очагов, о чем свидетельствуют вышеупомянутые исследования. В нашем кейсе это особенно важно ввиду наличия болевого синдрома, ассоциированного с поражением костей.
Данные из исследований II–III фаз, посвященных изучению эффективности комбинации CDK4/6-ингибиторов при добавлении к ингибиторам ароматазы
ЧОО — частота объективного ответа; клиническая польза включает в себя частоту достижения полного и частичного регресса опухолевых очагов, стабилизацию, уменьшение выраженности симптомов заболевания.
Показатели выживаемости без прогрессирования и частоты объективного ответа во всех исследованиях с CDK4/6-ингибиторами в первой линии сопоставимые.
Однако нам следует принять во внимания приоритеты пациентки. Они заключатся в том, чтобы «прожить как можно дольше» с ее заболеванием. Ввиду чего нам следует, при выборе терапии обратиться к данным об общей выживаемости пациенток, получающих ингибиторы ароматазы вместе с CDK4/6-ингибиторами в первой линии терапии.
Отталкиваясь от данных по общей выживаемости, наиболее оптимальным режимом для данной пациентки выступает комбинация рибоциклиб + ингибиторы ароматазы ввиду данных исследования MONALEESA-2 по общей выживаемости.
Комбинация палбоциклиб + ингибиторы ароматазы + гозерелин — менее предпочтительная опция ввиду того, что добавление палбоциклиба к гормонотерапии общей выживаемости.не улучшает общую выживаемость пациенток.
Существует также опция применения абемациклиба с ингибиторами ароматазы в первой линии терапии. Однако в настоящее время известно, что добавление абемациклиба к ингибиторам ароматазы в первой линии терапии метастатического HR+HER2- рака молочной железы не приводит к статистически значимому улучшению общей выживаемости пациенток, о чем свидетельствуют окончательные данные исследований MONARCH 3
(MONALEESA 2) Пояснение
(PALOMA-2) Пояснение
(MONARCH 3)
Принимая во внимание подтип опухоли, с которым столкнулась пациентка — люминальный В рак молочной железы, а также объем опухолевого поражения в виде метастатического поражения костей, отсутствие предшествующего лечения, можно говорить о том, что пациентка действительно нуждается в гормонотерапии.
Исходя из существующих исследований, наиболее оптимальной тактикой дальнейшего лечения выступает проведение гормонотерапии с применением CDK4/6-ингибиторов, так как их сочетание с ингибиторами ароматазы позволяет добиться существенного улучшения выживаемости без прогрессирования для большинства пациенток:
Комбинированная схема также позволяет увеличить шанс на уменьшение опухолевых очагов, о чем свидетельствуют вышеупомянутые исследования. В нашем кейсе это особенно важно ввиду наличия болевого синдрома, ассоциированного с поражением костей.
Данные из исследований II–III фаз, посвященных изучению эффективности комбинации CDK4/6 — ингибиторов при добавлении к ингибиторам ароматазы
ЧОО — частота объективного ответа; клиническая польза включает в себя частоту достижения полного и частичного регресса опухолевых очагов, стабилизацию, уменьшение выраженности симптомов заболевания
Показатели выживаемости без прогрессирования и частоты объективного ответа во всех исследованиях с CDK4/6-ингибиторами в первой линии сопоставимые.
Однако нам следует принять во внимания приоритеты пациентки. Они заключатся в том, чтобы «прожить как можно дольше» с ее заболеванием. Ввиду чего нам следует, при выборе терапии обратиться к данным об общей выживаемости пациенток, получающих ингибиторы ароматазы вместе с CDK4/6-ингибиторами в первой линии терапии.
Комбинация палбоциклиб + ингибиторы ароматазы не подходит ввиду того, что добавление палбоциклиба к гормонотерапии не улучшает общую выживаемость пациенток.
Отталкиваясь от данных по общей выживаемости, оптимальным режимом для данной пациентки выступает комбинация рибоциклиб + ингибиторы ароматазы ввиду данных исследования MONALEESA-2 по общей выживаемости.
Существует также опция применения абемациклиба с ингибиторами ароматазы в первой линии терапии. Однако в настоящее время известно, что добавление абемациклиба к ингибиторам ароматазы в первой линии терапии метастатического HR+HER2- рака молочной железы не приводит к статистически значимому улучшению общей выживаемости пациенток, о чем свидетельствуют окончательные данные исследований MONARCH 3
Нам также следует принять во внимание еще и такой приоритет пациентки, как возможность вести активный образ жизни и продолжать работать адвокатом. Здесь мы вынуждены обратиться к данным о переносимости и качестве жизни.
Непрямые сравнения свидетельствуют о более высоком качестве жизни при применении комбинации ингибиторов ароматазы и рибоциклиба в сравнении с комбинацией ингибиторов ароматазы и абемациклиба:
Результаты, полученные при использовании опросников QLQ-C30 и BR23 среди пациенток, получающих терапию рибоциклибом и абемациклибом, свидетельствуют о более высоком качестве жизни пациенток, получающих комбинацию с рибоциклибом, в отношении таких параметров, как:
-
потеря аппетита
-
диарея
-
слабость
-
симптомы в верхней конечности на стороне опухолевого поражения (включая боль, отек и возможность осуществления активных движений)
Все симптомы были менее выраженными в группе рибоциклиба.:
Таким образом, комбинация ИА с абемациклибом может быть приемлемым вариантом в лечении пациенток с метастатическим HR+ раком молочной железы в первой линии. Однако она является не самым оптимальным вариантом для пациентки из обсуждаемого кейса ввиду:
-
отсутствия доказательств улучшения общей выживаемости при добавлении абемациклибом к ингибиторам ароматазы
-
менее удовлетворительного качества жизни, чем при применении рибоциклиба
(PALOMA-2) Пояснение
(MONALEESA-2) Пояснение
(MONARCH 3)
Принимая во внимание подтип опухоли, с которым столкнулась пациентка — люминальный А рак молочной железы, а также объем опухолевого поражения в виде метастатического поражения костей и легких, отсутствие предшествующего лечения, пациентка действительно нуждается в гормонотерапии.
Одним из вариантов гормонотерапии может выступать фулвестрант. Он демонстрирует чуть более выраженное преимущество, чем анастрозол, в отношении выживаемости без прогрессирования, по данным исследования II фазы FALCON:
Применение фулвестранта также актуально ввиду существования возможности эскалации терапии путем добавления PIK3CA-ингибтора алпелисиба. Эффективность комбинации фулвестрант + алпелисиб продемонстрирована в SOLAR-1 trial, где часть пациенток получали указанную терапию в первой линии лечения.
Однако в нашем случае применение данной опции невозможно по причине отсутствия у нашей пациентки мутации PIK3CA, выступающей предиктивным маркером в отношении комбинации алпелисиб + фулвестрант.
(SOLAR-1)
Доксорубицин + циклофосфамид. Проведение химиотерапии вместо гормонотерапии при гормоночувствительном раке молочной железы действительно может быть оправдано, например, при висцеральном кризе. То есть при метастатическом поражении внутренних органов, которое проявляется выраженными лабораторными отклонениями и симптомами, утяжеляющими состояние пациента и резко ухудшающими его качество жизни.
Т.е. в ситуации, когда для нас критически важно уменьшение опухолевой массы. Потому, при висцеральном кризе было бы более актуально применение комбинированной химиотерапии, нежели монотерапия каким бы то ни было химиотерапевтическим препаратом. Но есть нюансы.
Нюанс 1. Исследование RIGHT CHOICE свидетельствует о том, что комбинация CDK4/6-ингибитора рибоциклиба с ингибиторами ароматазы при симптомном метастатическом заболевании оказывается более выигрышной стратегией, чем комбинированная химиотерапия: комбинация с рибоциклибом позволяет добиться сопоставимой с химиотерапией частотой объективного ответа 65% (против 60% при химиотерапии), в сопоставимые сроки, но при этом — более длительной выживаемости без прогрессирования.
Нюанс 2.В ситуации из описанного кейса речь не про проявляющее себя клинически либо лабораторное поражение внутренних органов. Какое-либо противоопухолевое лечение у пациентки также отсутствует. Это значит, что возможности гормонотерапии в ее ситуации не исчерпаны.
В отсутствии висцерального криза, а также ввиду отсутствия какого-либо предшествующего лекарственного лечения, наилучшим вариантом лекарственной терапии для данной пациентки также будет гормонотерапия, дополняемая таргетной терапией CDK4/6-ингибиторами, что отражено в российских (МЗ РФ, RUSSCO) и зарубежных рекомендациях (NCCN, ESMO, ASCO). Эта опция позволяет добиться большей частоты ответа (~50-60%), чем монохимиотерапии (~20-30%), но при более благоприятном профиле токсичности.
Литература и источники
- 1. Ссылка на результаты УЗИ регионарных лимфоузлов
- 2. Исследование Anastrozole Versus Tamoxifen as First-Line Therapy for Advanced Breast Cancer in 668 Postmenopausal Women: Results of the Tamoxifen or Arimidex Randomized Group Efficacy and Tolerability Study
- 3. Исследование A randomized double-blind comparison of ondansetron and metoclopramide in the prophylaxis of emesis induced by cyclophosphamide, fluorouracil, and doxorubicin or epirubicin chemotherapy
- 4. Исследование Phase III study comparing exemestane with tamoxifen as first-line hormonal treatment of metastatic breast cancer in postmenopausal women: the European Organisation for Research and Treatment of Cancer Breast Cancer Cooperative Group
- 5. Sonia Pernas, Sara M. Tolaney, Eric P. Winer, and Shom Goel. Therapeutic Advances in Medical OncologyVolume 10, January-December, Sage Journal, 2018
- 6. Ссылка на пояснения (PALOMA-2)
- 7. Ссылка на пояснение (MONALEESA-2)
- 8. Ссылка на пояснение (MONARCH 3)
- 9. Hope S. Rugo. Quality of life with ribociclib versus abemaciclib as first-line treatment of HR+/HER2− advanced breast cancer: a matching-adjusted indirect comparison, 2023
- 10. Исследование FALCON: A phase III randomised trial of fulvestrant 500 mg vs. anastrozole for hormone receptor-positive advanced breast cancer
- 11. Ссылка на пояснение SOLAR-1