Тактика первой линии лечения при de novo метастатическом раке молочной железы в пременопаузе
Тактика первой линии лечения при de novo метастатическом раке молочной железы в пременопаузе
Пациентка Ольга Петровна, 52 года.
Работает библиотекарем. Любит проводить время с семьей в своем уютном загородном домике. Мечтает в ближайшее время навестить сына, который переехал жить в Германию.
Анамнез болезни
Пациентка, достигшая постменопаузы, получает адъювантное лечение анастрозолом 1 мг/сут по поводу рака правой молочной железы, cT3N1M0, люминальный В, HER2-негативный подтип. Ранее была выполнена радикальная резекция молочной железы с лимфаденэктомией, проведено 6 циклов адъювантной полихимиотерапии по схеме доцетаксел + циклофосфамид.
В анамнезе хроническая сердечная недостаточность, 2 ФК по NYHA; фибрилляция предсердий, постоянная форма; хронический вирусный гепатит С с минимальной вирусной нагрузкой (состояние после противовирусного лечения от 2022 года), фиброз печени F1 ст.
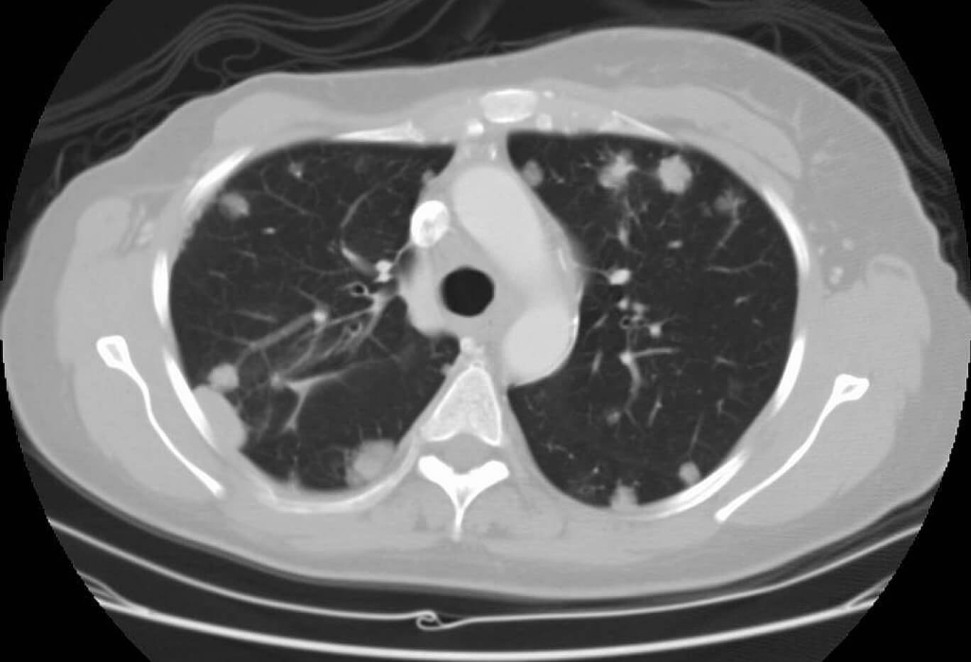
Пациентка перенесла коронавирусную инфекцию средней степени тяжести осложненную двусторонней пневмонией. По данным МСКТ, выполненной без контрастирования, выявлено множество очагов до 1,5 см. При выписке из инфекционного стационара пациентка консультирована онкологом. Рекомендовано обследование в объеме компьютерной томографии с внутривенным контрастированием органов грудной клетки, брюшной полости и малого таза.
Обследования
Рис. 1 — КТ органов грудной клетки с контрастированием. Отмечается полисегментарное вторичное поражение обоих легких, с учетом анамнеза, вероятно, соответствуют mts рака молочной железы.
Рис. 2 — МСКТ органов грудной клетки с внутривенным контрастированием. Отмечается литическое поражение тел позвонков Th8-Th9.
Данных за наличие других очагов вторичного поражения при обследовании не получено. В условиях ЛОКБ осуществлена торакоскопическая биопсия метастатического очага левого легкого.
По результатам гистологического и иммуногистохимического исследования материала, полученного при биопсии опухолевого очага их легкого:
-
объем опухолевого поражения
-
ГИ: неспецифицированная карцинома молочной железы, Grade 3, ER — 8, PR — 6, HER2/neu — 0 (отсутствие мембранной экспрессии), Ki-67 — 34%. Люминальный В, HER2-негативный рак молочной железы
-
Результаты генетического исследования № 125-22: мутаций в генах PIK3CA не обнаружено
-
Результаты NGS образца крови: герминальных мутаций в генах BRCA1 и BRCA2 не обнаружено
Диагноз
Рак правой молочной железы, cT3N1M0, люминальный В, HER2-негативный подтип.
Выбор тактики лечения
Пациентка явилась к вам для обсуждения оптимальной тактики дальнейшего лечения.
Предложите оптимальную тактику дальнейшего лечения
Прогрессирование после гормонотерапии, сроки прогрессирования (в ходе адъювантной гормонотерапии) и объем опухолевого поражения в данном случае действительно поначалу может навести на мысль о целесообразности проведения химиотерапии ввиду возникшей гормонорезистентности. Среди ранее не использовавшихся химиотерапевтических вариантов первым мог бы прийти на ум доксорубицин. Он весьма часто применяется в рамках неоадъювантной химиотерапии. Почему бы не применить его в первой линии терапии?
-
Первый аргумент против: доксорубицин — не самый эффективный вариант полихимиотерапии. Он проигрывает в рамках прямого сравнения доцетакселу.
-
Второй: пациентка обладает факторами, которые выступают предикторами очень высокого риска кардиотоксичности при применении доксорубицина. Речь идет о наличии у пациентки сопутствующей патологии в виде хронической сердечной недостаточности.
-
Третий, и наиболее важный, у пациентки не исчерпаны возможности менее токсичного и более безопасного вида лечения — гормонотерапии.
Т.е. с учетом гормоноположительного подтипа, который был подтвержден у нашей пациентки дважды, мы можем предложить несколько вариантов гормонотерапии, в том числе в сочетании с таргетной терапией. Указанные виды лечения могут отдалить момент применения химиотерапии, эффективность которой кажется весьма сомнительной, особенно с учетом ожидаемого профиля нежелательных явлений. О каких вариантах идет речь?
— фулвестрант
— фулвестрант + CDK4/6-ингибиторы
— экземестан + эверолимус
Раннее прогрессирование на ингибиторах ароматазы выступает поводом для смены гормонотерапии. Наиболее подходящим вариантом из всех существующих и доступных опций действительно выступает фулвестрант.
Однако существующие данные свидетельствуют об очень скромной эффективности фулвестранта в моно-режиме после прогрессирования на ингибиторах ароматазы:
-
медиана выживаемости без прогрессирования в 3 месяца
-
медиана общей выживаемости в 20 с лишним месяцев (что больше следствие индолентного течения гормоночувствительного рака молочной железы, нежели эффекта фулвестранта)
Можно ли дополнить лечение фулвестрантом добавлением других препаратов? Будет ли это эффективно?
Исследования, в которых оценивалась комбинация CDK4/6 с фулвестрантом свидетельтсвуют, что мы можем сочетать фулвестрант с одним из CDK4/6-ингибиторов:
Результаты исследований MONALEESA-3, MONARCH-2, PALOMA-3 — медианы выживаемости без прогрессирования; ГТ — гормонотерапия фулвестрантом; мРМЖ — метастатический рак молочной железы.
Все эти данные свидетельствуют о том, что фулвестрант в моно-режиме при прогрессирующем гормоночувствительном раке молочной железы выступает возможным, но далеко не самым оптимальным вариантом терапии.
Прогрессирование на ингибиторах ароматазы выступает поводом для смены гормонотерапии. И наиболее подходящим вариантом из всех существующих и доступных действительно выступает фулвестрант.
Однако существующие данные свидетельствуют об очень скромной эффективности фулвестранта в моно-режиме после прогрессирования на ингибиторах ароматазы:
-
медиана выживаемости без прогрессирования в 3 месяца
-
медиана общей выживаемости в 20 с лишним месяцев (что больше следствие индолентного течения гормоночувствительного рака молочной железы, нежели эффекта фулвестранта)
Можно ли дополнить лечение фулвестрантом добавлением других препаратов? Будет ли это эффективно?
Исследования, в которых оценивалась комбинация CDK4/6 с фулвестрантом свидетельствуют, что мы можем сочетать фулвестрант с одним из CDK4/6-ингибиторов:
Результаты исследований MONALEESA-3, MONARCH-2, PALOMA-3 — медианы выживаемости без прогрессирования; ГТ — гормонотерапия фулвестрантом; мРМЖ — метастатический рак молочной железы.
Пациентки с ранним прогрессированием, как в нашем случае, включались во все три исследования. Больше всего их было в MONARCH-2 и PALOMA-3. В них включали предлеченных пациенток, у которых заболевание возникло на фоне применения гормонотерапии.
Что касается MONALEESA-3, пациенток спрогрессировавших на фоне применения гормонотерапии, было не более половины от всей популяции, включенной в исследование. Что делает результаты данного исследования менее репрезентативными для нашего случая.
Общая выживаемость
Если рассмотреть вопрос с позиции того, что даст большее преимущество в общей выживаемости, то картина следующая:
-
Различия в общей выживаемости в MONALEESA-3 в подгруппе пациентов с гормонорезистентным заболеванием были статистически незначимыми: 39,7 месяца против 33,7 месяца (HR 0,801, 95% ДИ 0,614-1,046)
-
Различия в общей выживаемости в PALOMA-3 приобрели статистическую значимость лишь по результатам 6-летнего наблюдения за пациентками: 34,9 месяца против 28,0 месяца (HR 0,806, 95% ДИ 0,65-0,99)
-
Различия в общей выживаемости в MONARCH-2 были клинически и статистически значимыми: 46,7 месяца против 37,3 месяца (HR: 0.757; 95% CI: 0.606-0.945; p = 0.01)
При непрямых сравнениях чуть более выглядят данные из MONARCH-2. Однако прежде чем предаться непрямым сравнением, следует помнить об отдельных нюансах каждого исследования.
MONALEESA-3
Среди пациенток, у которых заболевание характеризовалось гормонорезистентностью (это пациентки, получившие рибоциклиб с фулвестрантом в рамках второй линии), добавление рибоциклиба не привело к статистически значимому улучшению общей выживаемости, несмотря на абсолютное улучшение общей выживаемости на 6 с лишним месяцев.
Весьма вероятно, что это может быть связано со сравнительно небольшим количеством пациенток и статистической мощностью, которой было недостаточно для того, чтобы продемонстрировать преимущество в общей выживаемости у пациенток именно в этой подгруппе, с гормонорезистентным заболеванием, поскольку она не выступала в качестве первичной конечной точки.
Тем не менее абсолютные различия в общей выживаемости делают применение рибоциклиба, как минимум, не бесполезным. Об этом свидетельствует то, что выраженность снижения риска смерти, hazard ratio (HR), в MONALEESA-3 и PALOMA-3 были одинаковыми, и сопоставимыми с HR в MONARCH-3.
Подводя итог, можно говорить о том, что применение любого из CDK4/6-ингибиторов для нашей пациентки выглядит правильным и оправданным. Между тем, если пытаться изыскивать преимущества конкретной схемы, мы бы отталкивались от данных MONARCH-2 в отношении абемациклиба, так как:
-
данные более репрезентативны, чем MONALEESA-3 для нашей пациентки: всю популяцию включенных в MONARCH-2 людей составляли пациентки с агрессивным течением заболевания — прогрессированием на фоне применения ингибиторов ароматазы как в рамках адъюванта, так и в первой линии
-
непрямых сравнений результатов MONARCH-2 с PALOMA-3 и MONALEESA-3, где и абсолютные значения преимущества в общей выживаемости, и степень снижения относительно риска была больше именно в MONARCH-2
Однако сопутствующая патология пациентки может неблагоприятно сказаться на переносимости абемациклиба, что может служить аргументом в пользу применения палбоциклиба либо рибоциклиба.
(MONARCH-2) Пояснение
(PALOMA-3) Пояснение
(MONALEESA-3) Пояснение
(MONALEESA-3)
Прогрессирование на ингибиторах ароматазы выступает поводом для смены гормонотерапии. И наиболее подходящим вариантом из всех существующих и доступных действительно выступает фулвестрант.
Однако существующие данные свидетельствуют об очень скромной эффективности фулвестранта в моно-режиме после прогрессирования на ингибиторах ароматазы:
-
медиана выживаемости без прогрессирования в 3 месяца
-
медиана общей выживаемости в 20 с лишним месяцев (что больше следствие индолентного течения гормоночувствительного рака молочной железы, нежели эффекта фулвестранта)
Можно ли дополнить лечение фулвестрантом добавлением других препаратов? Будет ли это эффективно?
Исследования, в которых оценивалась комбинация CDK4/6 с фулвестрантом свидетельствуют, что мы можем сочетать фулвестрант с одним из CDK4/6-ингибиторов:
Результаты исследований MONALEESA-3, MONARCH-2, PALOMA-3 — медианы выживаемости без прогрессирования; ГТ — гормонотерапия фулвестрантом; мРМЖ — метастатический рак молочной железы.
Пациентки с ранним прогрессированием, как в нашем случае, включались во все три исследования. Больше всего их было в MONARCH-2 и PALOMA-3. В них включали предлеченных пациенток, у которых заболевание возникло на фоне применения гормонотерапии.
Что касается MONALEESA-3, пациенток спрогрессировавших на фоне применения гормонотерапии, было не более половины от всей популяции, включенной в исследование. Что делает результаты данного исследования менее репрезентативными для нашего случая.
Общая выживаемость
Если рассмотреть вопрос с позиции того, что даст большее преимущество в общей выживаемости, то картина следующая:
-
Различия в общей выживаемости в MONALEESA-3 в подгруппе пациентов с гормонорезистентным заболеванием были статистически незначимыми: 39,7 месяца против 33,7 месяца (HR 0,801, 95% ДИ 0,614-1,046)
-
Различия в общей выживаемости в PALOMA-3 приобрели статистическую значимость лишь по результатам 6-летнего наблюдения за пациентками: 34,9 месяца против 28,0 месяца (HR 0,806, 95% ДИ 0,65-0,99)
-
Различия в общей выживаемости в MONARCH-2 были клинически и статистически значимыми: 46,7 месяца против 37,3 месяца (HR: 0.757; 95% CI: 0.606-0.945; p = 0.01)
При непрямых сравнениях чуть более выглядят данные из MONARCH-2. Однако прежде чем предаться непрямым сравнением, следует помнить об отдельных нюансах каждого исследования.
MONALEESA-3
Среди пациенток, у которых заболевание характеризовалось гормонорезистентностью (это пациентки, получившие рибоциклиб с фулвестрантом в рамках второй линии), добавление рибоциклиба не привело к статистически значимому улучшению общей выживаемости, несмотря на абсолютное улучшение общей выживаемости на 6 с лишним месяцев.
Весьма вероятно, что это может быть связано со сравнительно небольшим количеством пациенток и статистической мощностью, которой было недостаточно для того, чтобы продемонстрировать преимущество в общей выживаемости у пациенток именно в этой подгруппе, с гормонорезистентным заболеванием, поскольку она не выступала в качестве первичной конечной точки.
Тем не менее абсолютные различия в общей выживаемости делают применение рибоциклиба, как минимум, не бесполезным. Об этом свидетельствует то, что выраженность снижения риска смерти, hazard ratio (HR), в MONALEESA-3 и PALOMA-3 были одинаковыми, и сопоставимыми с HR в MONARCH-3.
Подводя итог, можно говорить о том, что применение любого из CDK4/6-ингибиторов для нашей пациентки выглядит правильным и оправданным. Между тем, если пытаться изыскивать преимущества конкретной схемы, мы бы отталкивались от данных MONARCH-2 в отношении абемациклиба, так как:
-
данные более репрезентативны, чем MONALEESA-3 для нашей пациентки: всю популяцию включенных в MONARCH-2 людей составляли пациентки с агрессивным течением заболевания — прогрессированием на фоне применения ингибиторов ароматазы как в рамках адъюванта, так и в первой линии
-
непрямых сравнений результатов MONARCH-2 с PALOMA-3 и MONALEESA-3, где и абсолютные значения преимущества в общей выживаемости, и степень снижения относительно риска была больше именно в MONARCH-2
Однако сопутствующая патология пациентки может неблагоприятно сказаться на переносимости абемациклиба, что может служить аргументом в пользу применения палбоциклиба либо рибоциклиба.
(MONARCH-2) Пояснение
(PALOMA-3) Пояснение
(MONALEESA-3) Пояснение
(MONALEESA-3)
Прогрессирование на ингибиторах ароматазы выступает поводом для смены гормонотерапии. И наиболее подходящим вариантом из всех существующих и доступных действительно выступает фулвестрант.
Однако существующие данные свидетельствуют об очень скромной эффективности фулвестранта в моно-режиме после прогрессирования на ингибиторах ароматазы:
-
медиана выживаемости без прогрессирования в 3 месяца
-
медиана общей выживаемости в 20 с лишним месяцев (что больше следствие индолентного течения гормоночувствительного рака молочной железы, нежели эффекта фулвестранта)
Можно ли дополнить лечение фулвестрантом добавлением других препаратов? Будет ли это эффективно?
Исследования, в которых оценивалась комбинация CDK4/6 с фулвестрантом свидетельствуют, что мы можем сочетать фулвестрант с одним из CDK4/6-ингибиторов:
Результаты исследований MONALEESA-3, MONARCH-2, PALOMA-3 — медианы выживаемости без прогрессирования; ГТ — гормонотерапия фулвестрантом; мРМЖ — метастатический рак молочной железы.
Пациентки с ранним прогрессированием, как в нашем случае, включались во все три исследования. Больше всего их было в MONARCH-2 и PALOMA-3. В них включали предлеченных пациенток, у которых заболевание возникло на фоне применения гормонотерапии.
Что касается MONALEESA-3, пациенток спрогрессировавших на фоне применения гормонотерапии, было не более половины от всей популяции, включенной в исследование. Что делает результаты данного исследования менее репрезентативными для нашего случая.
Общая выживаемость
Если рассмотреть вопрос с позиции того, что даст большее преимущество в общей выживаемости, то картина следующая:
-
Различия в общей выживаемости в MONALEESA-3 в подгруппе пациентов с гормонорезистентным заболеванием были статистически незначимыми: 39,7 месяца против 33,7 месяца (HR 0,801, 95% ДИ 0,614-1,046)
-
Различия в общей выживаемости в PALOMA-3 приобрели статистическую значимость лишь по результатам 6-летнего наблюдения за пациентками: 34,9 месяца против 28,0 месяца (HR 0,806, 95% ДИ 0,65-0,99)
-
Различия в общей выживаемости в MONARCH-2 были клинически и статистически значимыми: 46,7 месяца против 37,3 месяца (HR: 0.757; 95% CI: 0.606-0.945; p = 0.01)
При непрямых сравнениях чуть более выглядят данные из MONARCH-2. Однако прежде чем предаться непрямым сравнением, следует помнить об отдельных нюансах каждого исследования.
MONALEESA-3
Среди пациенток, у которых заболевание характеризовалось гормонорезистентностью (это пациентки, получившие рибоциклиб с фулвестрантом в рамках второй линии), добавление рибоциклиба не привело к статистически значимому улучшению общей выживаемости, несмотря на абсолютное улучшение общей выживаемости на 6 с лишним месяцев.
Весьма вероятно, что это может быть связано со сравнительно небольшим количеством пациенток и статистической мощностью, которой было недостаточно для того, чтобы продемонстрировать преимущество в общей выживаемости у пациенток именно в этой подгруппе, с гормонорезистентным заболеванием, поскольку она не выступала в качестве первичной конечной точки.
Тем не менее абсолютные различия в общей выживаемости делают применение рибоциклиба, как минимум, не бесполезным. Об этом свидетельствует то, что выраженность снижения риска смерти, hazard ratio (HR), в MONALEESA-3 и PALOMA-3 были одинаковыми, и сопоставимыми с HR в MONARCH-3.
Подводя итог, можно говорить о том, что применение любого из CDK4/6-ингибиторов для нашей пациентки выглядит правильным и оправданным. Между тем, если пытаться изыскивать преимущества конкретной схемы, мы бы отталкивались от данных MONARCH-2 в отношении абемациклиба, так как:
-
данные более репрезентативны, чем MONALEESA-3 для нашей пациентки: всю популяцию включенных в MONARCH-2 людей составляли пациентки с агрессивным течением заболевания — прогрессированием на фоне применения ингибиторов ароматазы как в рамках адъюванта, так и в первой линии
-
непрямых сравнений результатов MONARCH-2 с PALOMA-3 и MONALEESA-3, где и абсолютные значения преимущества в общей выживаемости, и степень снижения относительно риска была больше именно в MONARCH-2
Однако сопутствующая патология пациентки может неблагоприятно сказаться на переносимости абемациклиба, что может служить аргументом в пользу применения палбоциклиба либо рибоциклиба.
(MONARCH-2) Пояснение
(PALOMA-3) Пояснение
(MONALEESA-3) Пояснение
(MONALEESA-3)
Литература и источники
- 1. Исследование Prospective randomized trial of docetaxel versus doxorubicin in patients with metastatic breast cancer
- 2. 2022 ESC Guidelines on cardio-oncology developed in collaboration with the European Hematology Association (EHA), the European Society for Therapeutic Radiology and Oncology (ESTRO) and the International Cardio-Oncology Society (IC-OS): Developed by the task force on cardio-oncology of the European Society of Cardiology (ESC)
- 3. ESMO Clinical Practice Guideline for the diagnosis, staging and treatment of patients with metastatic breast cancer, 2021
- 4. Исследование Fulvestrant in women with advanced breast cancer after progression on prior aromatase inhibitor therapy: North Central Cancer Treatment Group Trial N0032
- 5. Ссылка на пояснение (MONARCH-2)
- 6. Ссылка на пояснение (PALOMA-3)
- 7. Ссылка на пояснение (MONALEESA-3)