Тактика первой линии лечения метастатического рака молочной железы после позднего прогрессирования на адъювантной гормонотерапии
Тактика первой линии лечения метастатического рака молочной железы после позднего прогрессирования на адъювантной гормонотерапии
Пациентка Нина Ивановна, 50 лет.
Работает учителем английского языка. В свободное от работы время посещает групповые занятия в фитнес-клубе, тщательно следит за своим питанием и старается в целом вести активный образ жизни.
Анамнез болезни
В постменопаузе, наблюдается у районного онколога по поводу рака левой молочной железы, cT2N1M0, люминальный В HER2-негативный подтип. В анамнезе радикальная резекция молочной железы с лимфаденэктомией, 8 циклов адъювантной полихимиотерапии по схеме AC — T (4 цикла
доксорубицин + циклофосфамид → 4 цикла терапии паклитакселом), далее — гормонотерапия летрозолом 2,5 мг/сут в течение 5 лет.
Пациентка не получает летрозол уже на протяжении полутора лет по причине завершения полного курса лечения.
При очередном контрольном осмотре пациентка обратила внимание на незначительное увеличение трансаминаз в биохимическом анализе крови. Испугавшись возможного прогрессирования, пациентка самостоятельно выполняет ультразвуковое исследование органов брюшной полости, при котором находят несколько гипоэхогенных очагов.
Пациентка обращается на консультацию к районному онкологу с результатами УЗИ. На основании результатов ультразвукового исследования врач решает, что пациентка нуждается в дообследовании. Поэтому выписывает ей направления на компьютерную томографию органов грудной клетки, брюшной полости, малого таза с внутривенным контрастированием и на остеосцинтиграфию.
Обследования
По результатам обследования:
Рис. 1 — КТ органов брюшной полости с внутривенным контрастированием, портальная фаза. При сравнении в динамике с результатами от 01.2022 (выполнено до оперативного лечения) отмечается появление нескольких гиподенсных очагов в паренхиме печени, картина может соответствовать вторичному поражению.
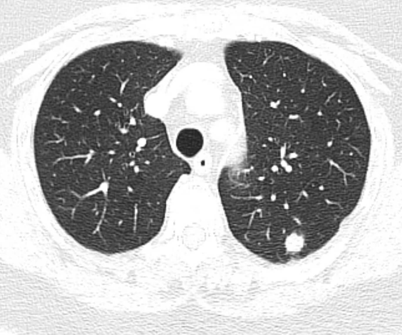
Рис. 2 — КТ органов грудной клетки с внутривенным контрастированием. В нижней доле левого легкого визуализируется солитарный очаг. С учетом анамнеза и рентгенологической картины, наиболее соответствует вторичному поражению.
По данным остеосцинтиграфии и компьютерной томографии также выявлено поражение позвоночника:
Рис. 3 — отмечается литическое поражение тел позвонков поясничного отдела, поражение остистого отростка L3, патологический перелом тела позвонка L1.
Районный онколог рекомендовал начать гормонотерапию в виде фулвестранта с CDK4/6-ингибиторами и направил пациентку в городское учреждение, в котором, по результатам консилиума, будет принято окончательное решение относительно дальнейшей тактики лечения.
Пациентка явилась к вам на прием, чтобы получить второе мнение по поводу предстоящего лечения. Вы, на основании своих знаний о существовании такой особенности рака молочной железы, как конверсия рецепторного статуса при прогрессировании, рекомендуете выполнение биопсии метастатического очага печени и его последующее гистологическое и иммуногистохимическое исследование.
Весьма неохотно пациентка соглашается с вами. Ваш коллега-хирург помог вам с выполнением трепан-биопсии метастатического очага в печени. Хирург предусмотрительно решил направить материал еще и на генетическое исследование с целью оценки мутационного статуса PIK3CA и BRCA. Вы отпустили пациентку и попросили явиться через неделю, когда будут готовы результаты патоморфологического исследования.
По результатам гистологического и иммуногистохимического исследования материала, полученного при биопсии опухолевого очага печени:
-
ГИ: неспецифицированная карцинома молочной железы, Grade 3, ER — 6, PR — 4, HER2/neu — 1 (слабая мембранная экспрессия), Ki-67 — 47%. Люминальный В, HER2-негативный рак молочной железы.
-
Результаты генетического исследования № 3425- 3: мутаций в генах PIK3CA не обнаружено. Мутаций в генах BRCA1 и BRCA2, по данным выполненного NGS, не обнаружено.
Диагноз
Рак левой молочной железы, cT2N1M0, люминальный В HER2-негативный подтип.
Выбор тактики лечения
Пациентка явилась к вам для обсуждения оптимальной тактики дальнейшего лечения.
Предложите оптимальную тактику дальнейшего лечения
Прогрессирование после гормонотерапии и объем опухолевого поражения в данном случае действительно поначалу может навести на мысль о целесообразности проведения химиотерапии. Правда выбор терапевтических режимов, с учетом ранее проведенного химиотерапевтического лечения с применением таксанов и антрациклинов, несколько ограничен.
Эрибулин — один из наиболее «ходовых» режимов химиотерапии предлеченного метастатического рака молочной железы. Доказательной базой его применения выступает исследование EMBRACE, где сравнивали эрибулин в моно-режиме и различные химиотерапевтические режимы по выбору врача — гемцитабин, винорельбин, капецитабин. 64% пациенток относились к пациенткам с HR+/HER2- раком молочной железы.
По сравнению с озвученными вариантами химиотерапии, эрибулин демонстрирует скромное, но статистически значимое преимущество в общей выживаемости:
Однако может быть у нас не исчерпаны возможности гормоно- и таргетной терапии?
Если взглянуть хотя бы на не самые свежие рекомендации ESMO от 2021 года, которые не учитывают возможность применения CDK4/6-ингибиторов при висцеральном кризе. То уже складывается впечатление, что, прежде чем провести химиотерапию, мы можем попробовать другие варианты терапии, в то время как химиотерапия выступает той опцией лечения, к которой мы переходим в самую последнюю очередь:
Т.е. с учетом гормоноположительного подтипа, который мы подтвердили у нашей пациентки дважды, мы можем предложить несколько вариантов гормонотерапии, в том числе в сочетании с таргетной терапией. Указанные виды терапии могут отдалить момент применения химиотерапии, эффективность которой кажется весьма сомнительной, особенно с учетом ожидаемого профиля нежелательных явлений. Что это за варианты?
— фулвестрант
— фулвестрант + CDK4/6-ингибиторы
— экземестан + эверолимус
Прогрессирование на ингибиторах ароматазы выступает поводом для смены гормонотерапии. И наиболее подходящим вариантом из всех существующих и доступных действительно выступает фулвестрант.
Однако существующие данные свидетельствуют об очень скромной эффективности фулвестранта в моно-режиме после прогрессирования на ингибиторах ароматазы:
-
медиана выживаемости без прогрессирования в 3 месяца
-
медиана общей выживаемости в 20 с лишним месяцев (что больше следствие индолентного течения гормоночувствительного рака молочной железы, нежели эффекта фулвестранта)
Можно ли дополнить лечение фулвестрантом добавлением других препаратов? Будет ли это эффективно?
Исследования, в которых оценивалась комбинация CDK4/6 с фулвестрантом свидетельтсвуют, что мы можем сочетать фулвестрант с одним из CDK4/6-ингибиторов:
Результаты исследований MONALEESA-3, MONARCH-2, PALOMA-3 — медианы выживаемости без прогрессирования; ГТ — гормонотерапия фулвестрантом; мРМЖ — метастатический рак молочной железы.
Все эти данные свидетельствуют о том, что фулвестрант в моно-режиме при прогрессирующем гормоночувствительном раке молочной железы выступает возможным, но далеко не самым оптимальным вариантом терапии.
Прогрессирование на ингибиторах ароматазы выступает поводом для смены гормонотерапии. И наиболее подходящим вариантом из всех существующих и доступных действительно выступает фулвестрант.
Однако существующие данные свидетельствуют об очень скромной эффективности фулвестранта в моно-режиме после прогрессирования на ингибиторах ароматазы:
-
медиана выживаемости без прогрессирования в 3 месяца
-
медиана общей выживаемости в 20 с лишним месяцев (что больше следствие индолентного течения гормоночувствительного рака молочной железы, нежели эффекта фулвестранта)
Можно ли дополнить лечение фулвестрантом добавлением других препаратов? Будет ли это эффективно?
Исследования, в которых оценивалась комбинация CDK4/6 с фулвестрантом свидетельствуют, что мы можем сочетать фулвестрант с одним из CDK4/6-ингибиторов:
Результаты исследований MONALEESA-3, MONARCH-2, PALOMA-3 — медианы выживаемости без прогрессирования; ГТ — гормонотерапия фулвестрантом; мРМЖ — метастатический рак молочной железы.
Наша пациентка в наибольшей степени соответствует критериям включения в исследования MONALEESA-3:
Пациентка с HR+/HER2- метастатическим раком молочной железы, у которой случилось позднее прогрессирование после завершения адъювантной гормонотерапии. Эта группа пациенток составляла половину популяции пациенток, включенных в исследование
В то время как в MONARCH-2 и PALOMA-3 исследователи сосредотачивались на пациентках с гормонорезистентностью, т. е. пациентках, у которых случился ранний рецидив после адъювантной гормонотерапии, либо в ходе гормонотерапии первой/второй линиях по поводу метастатического HR+/HER2- рака молочной железы
В нашем случае было бы корректней воспроизводить протокол именно MONALEESA-3. Доказательная база в отношении сочетания с фулвестрантом у пациенток с поздним рецидивом наиболее убедительна именно в отношении схемы с рибоциклибом.
Применение палбоциклиба либо абемациклиба с фулвестрантом у таких пациенток не запрещено нашими клиническими рекомендациями. Но об их ожидаемой эффективности у обрисованной популяции пациенток известно меньше. Рассмотрение же возможности применения абемациклиба либо палбоциклиба будет более актуальным при гормонорезистентных случаях. Т.е. при раннем рецидиве после адъювантной гормонотерапии либо после предлеченных случаев HR+/HER2- рака молочной железы (при условии отсутствия применении CDK4/6-ингибиторов ранее, естественно).
(MONALEESA-3) Пояснение
(MONARCH-2) Пояснение
(PALOMA-3)
Прогрессирование на ингибиторах ароматазы выступает поводом для смены гормонотерапии. И наиболее подходящим вариантом из всех существующих и доступных действительно выступает фулвестрант.
Однако существующие данные свидетельствуют об очень скромной эффективности фулвестранта в моно-режиме после прогрессирования на ингибиторах ароматазы:
-
медиана выживаемости без прогрессирования в 3 месяца
-
медиана общей выживаемости в 20 с лишним месяцев (что больше следствие индолентного течения гормоночувствительного рака молочной железы, нежели эффекта фулвестранта)
Можно ли дополнить лечение фулвестрантом добавлением других препаратов? Будет ли это эффективно?
Исследования, в которых оценивалась комбинация CDK4/6 с фулвестрантом свидетельствуют, что мы можем сочетать фулвестрант с одним из CDK4/6-ингибиторов:
Результаты исследований MONALEESA-3, MONARCH-2, PALOMA-3 — медианы выживаемости без прогрессирования; ГТ — гормонотерапия фулвестрантом; мРМЖ — метастатический рак молочной железы.
Наша пациентка в наибольшей степени соответствует критериям включения в исследования MONALEESA-3:
Пациентка с HR+/HER2- метастатическим раком молочной железы, у которой случилось позднее прогрессирование после завершения адъювантной гормонотерапии. Эта группа пациенток составляла половину популяции пациенток, включенных в исследование
В то время как в MONARCH-2 и PALOMA-3 исследователи сосредотачивались на пациентках с гормонорезистентностью, т. е. пациентках, у которых случился ранний рецидив после адъювантной гормонотерапии, либо в ходе гормонотерапии первой/второй линиях по поводу метастатического HR+/HER2- рака молочной железы
В нашем случае было бы корректней воспроизводить протокол именно MONALEESA-3. Доказательная база в отношении сочетания с фулвестрантом у пациенток с поздним рецидивом наиболее убедительна именно в отношении схемы с рибоциклибом.
Применение палбоциклиба либо абемациклиба с фулвестрантом у таких пациенток не запрещено нашими клиническими рекомендациями. Но об их ожидаемой эффективности у обрисованной популяции пациенток известно меньше. Рассмотрение же возможности применения абемациклиба либо палбоциклиба будет более актуальным при гормонорезистентных случаях. Т.е. при раннем рецидиве после адъювантной гормонотерапии либо после предлеченных случаев HR+/HER2- рака молочной железы (при условии отсутствия применении CDK4/6-ингибиторов ранее, естественно).
(MONALEESA-3) Пояснение
(MONARCH-2) Пояснение
(PALOMA-3)
Прогрессирование на ингибиторах ароматазы выступает поводом для смены гормонотерапии. И наиболее подходящим вариантом из всех существующих и доступных действительно выступает фулвестрант.
Однако существующие данные свидетельствуют об очень скромной эффективности фулвестранта в моно-режиме после прогрессирования на ингибиторах ароматазы:
-
медиана выживаемости без прогрессирования в 3 месяца
-
медиана общей выживаемости в 20 с лишним месяцев (что больше следствие индолентного течения гормоночувствительного рака молочной железы, нежели эффекта фулвестранта)
Можно ли дополнить лечение фулвестрантом добавлением других препаратов? Будет ли это эффективно?
Исследования, в которых оценивалась комбинация CDK4/6 с фулвестрантом свидетельствуют, что мы можем сочетать фулвестрант с одним из CDK4/6-ингибиторов:
Результаты исследований MONALEESA-3, MONARCH-2, PALOMA-3 — медианы выживаемости без прогрессирования; ГТ — гормонотерапия фулвестрантом; мРМЖ — метастатический рак молочной железы.
Наша пациентка в наибольшей степени соответствует критериям включения в исследования MONALEESA-3:
Пациентка с HR+/HER2- метастатическим раком молочной железы, у которой случилось позднее прогрессирование после завершения адъювантной гормонотерапии. Эта группа пациенток составляла половину популяции пациенток, включенных в исследование
В то время как в MONARCH-2 и PALOMA-3 исследователи сосредотачивались на пациентках с гормонорезистентностью, т. е. пациентках, у которых случился ранний рецидив после адъювантной гормонотерапии, либо в ходе гормонотерапии первой/второй линиях по поводу метастатического HR+/HER2- рака молочной железы
В нашем случае было бы корректней воспроизводить протокол именно MONALEESA-3. Доказательная база в отношении сочетания с фулвестрантом у пациенток с поздним рецидивом наиболее убедительна именно в отношении схемы с рибоциклибом.
Применение палбоциклиба либо абемациклиба с фулвестрантом у таких пациенток не запрещено нашими клиническими рекомендациями. Но об их ожидаемой эффективности у обрисованной популяции пациенток известно меньше. Рассмотрение же возможности применения абемациклиба либо палбоциклиба будет более актуальным при гормонорезистентных случаях. Т.е. при раннем рецидиве после адъювантной гормонотерапии либо после предлеченных случаев HR+/HER2- рака молочной железы (при условии отсутствия применении CDK4/6-ингибиторов ранее, естественно).
(MONALEESA-3) Пояснение
(MONARCH-2) Пояснение
(PALOMA-3)
Литература и источники
- 1. Исследование Eribulin monotherapy versus treatment of physician’s choice in patients with metastatic breast cancer (EMBRACE): a phase 3 open-label randomised study
- 2. ESMO Clinical Practice Guideline for the diagnosis, staging and treatment of patients with metastatic breast cancer, 2021
- 3. Исследование Fulvestrant in women with advanced breast cancer after progression on prior aromatase inhibitor therapy: North Central Cancer Treatment Group Trial N0032
- 4. Ссылка на пояснение (MONALEESA-3)
- 5. Ссылка на пояснение (MONARCH-2)
- 6. Ссылка на пояснение (PALOMA-3)