Тактика 2 линии лечения метастатического рака молочной железы после прогрессирования на гормонотерапии 1 линии
(ранее не применялись CDK4/6-ингибиторы)
Тактика 2 линии лечения метастатического рака молочной железы после прогрессирования на гормонотерапии 1 линии
(ранее не применялись CDK4/6-ингибиторы)
Пациентка Лидия Николаевна, 64 года.
Живет вместе с сыном, невесткой и двумя внуками. По возможности помогает в воспитании детей. Подрабатывает консьержем в своем доме.
Анамнез болезни
Пациентка наблюдается и получает лечение в областном диспансере по поводу метастатического рака молочной железы cT3N1M1 (поражение легких, костей), проводится гормонотерапия 1 линии анастрозолом 1 мг/сут в моно-режиме, которая она получает на протяжении 4 -х месяцев.
При очередном контрольном обследовании отмечено прогрессирование заболевания в виде значимого роста метастатических очагов в легких на 30% в сравнении с nadir по RECIST 1,1, а также отмечается появление правостороннего гидроторакса. Пациентка осмотрена хирургом, показаний для торакоцентеза в настоящее время не выявлено.
В анамнезе гипертоническая болезнь 2 ст, варикозная болезнь вен нижних конечностей. При осмотре складывается впечатление о стабильном состоянии, ECOG 2.
Обследования
По данным ранее проведенного морфологического исследования опухолевого материала: лобулярная карцинома молочной железы, Grade 2, ER — 8, PR — 6, HER2/neu — 0 (отсутствие мембранной экспрессии), Ki-67 — 31%. Люминальный В, HER2-негативный рак молочной железы.
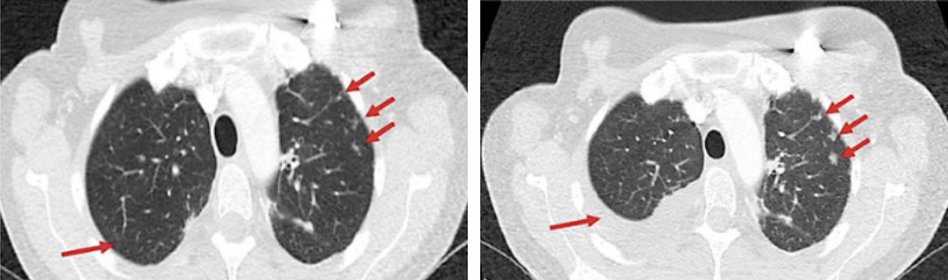
Рис. 1 — динамика заболевания на фоне проведения гормонотерапии ингибиторами ароматазы, разница в сроках исследования — 4 месяца.
Результаты генетического исследования:
Мутаций в генах PIK3CA при исследовании опухолевого материала первичной опухоли методом ПЦР не обнаружено.
Диагноз
Метастатический рак молочной железы cT3N1M1 с поражением легких и костей
Выбор тактики лечения
Пациентка явилась к вам для обсуждения оптимальной тактики дальнейшего лечения.
Предложите оптимальную тактику дальнейшего лечения
Прогрессирование после гормонотерапии и объем опухолевого поражения с осложнениями заболевания в виде гидроторакса в данном случае действительно поначалу может навести на мысль о целесообразности проведения химиотерапии ввиду возникшей гормонорезистентности.
Однако возможности гормонотерапии в настоящей ситуации не исчерпаны.
Отсутствие в анамнезе терапии CDK4/6-ингибиторов, состояние пациентки и результаты исследований, посвященных применению CDK-ингибиторов у пациенток с гормонорезистентным заболеванием, ожидаемый профиль нежелательных явлений полихимиотерапии, позволяют рассматривать возможность применения фулвестранта с CDK4/6-ингибиторами в данном случае как варианта лечения с более приемлемым профилем нежелательных явлений и сопоставимой эффективностью.
Прогрессирование на ингибиторах ароматазы выступает поводом для смены гормонотерапии. И наиболее подходящим вариантом из всех существующих и доступных действительно выступает фулвестрант.
Однако существующие данные свидетельствуют об очень скромной эффективности фулвестранта в моно-режиме после прогрессирования на ингибиторах ароматазы:
-
медиана выживаемости без прогрессирования в 3 месяца
-
медиана общей выживаемости в 20 с лишним месяцев (что больше следствие индолентного течения гормоночувствительного рака молочной железы, нежели эффекта фулвестранта)
Можно ли дополнить лечение фулвестрантом добавлением других препаратов? Будет ли это эффективно?
Исследования, в которых оценивалась комбинация CDK4/6 с фулвестрантом свидетельтсвуют, что мы можем сочетать фулвестрант с одним из CDK4/6-ингибиторов:
Результаты исследований MONALEESA-3, MONARCH-2, PALOMA-3 — медианы выживаемости без прогрессирования; ГТ — гормонотерапия фулвестрантом; мРМЖ — метастатический рак молочной железы.
Все эти данные свидетельствуют о том, что фулвестрант в моно-режиме при прогрессирующем гормоночувствительном раке молочной железы выступает возможным, но далеко не самым оптимальным вариантом терапии.
Прогрессирование на ингибиторах ароматазы выступает поводом для смены гормонотерапии. И наиболее подходящим вариантом из всех существующих и доступных действительно выступает фулвестрант.
Однако существующие данные свидетельствуют об очень скромной эффективности фулвестранта в моно-режиме после прогрессирования на ингибиторах ароматазы:
-
медиана выживаемости без прогрессирования в 3 месяца
-
медиана общей выживаемости в 20 с лишним месяцев (что больше следствие индолентного течения гормоночувствительного рака молочной железы, нежели эффекта фулвестранта)
Можно ли дополнить лечение фулвестрантом добавлением других препаратов? Будет ли это эффективно?
Исследования, в которых оценивалась комбинация CDK4/6 с фулвестрантом свидетельствуют, что мы можем сочетать фулвестрант с одним из CDK4/6-ингибиторов:
Результаты исследований MONALEESA-3, MONARCH-2, PALOMA-3 — медианы выживаемости без прогрессирования; ГТ — гормонотерапия фулвестрантом; мРМЖ — метастатический рак молочной железы.
Применение всех CDk4/6- ингибиторов допустимо российскими клиническими рекомендациями, однако, они не дают ответа на вопрос относительно того, какой вариант терапии будет наиболее оптимальным.
Принимая во внимания условия нашей задачи, мы должны рассматривать течение заболевания у нашей пациентки как гормонорезистентное, в соответствии с стандартным определением эндокринной резистентности, предложенного ESMO/ABC4.
При рассмотрении вопроса выбора CDK4/6-ингибитора в качестве компонента терапии 2 линии и пытаясь отталкиваться от результатов исследований MONARCH 2, MONALEESA 3, PALOMA 3, мы сталкиваемся с рядом препятствий, не позволяющим проводить достоверные сравнения различных CDK4/6 — ингибиторов:
-
отсутствием прямых проспективных сравнений между различными CDK4/6 — ингибиторами в рамках терапии метастатического рака молочной железы во второй линии
-
различные определения гормонорезистентности, которые использовались при включении пациенток в указанные выше исследования.
-
Так, стандартное определение ESMO/ABC4 гормонорезистентного заболевания, определение первичной и вторичной эндокринной резистентности, использовалось в исследовании MONARCH 2.
Между тем, если представить доступность всех вариантов терапии и необходимость сделать между ними выбор, нам невольно придется прибегнуть к непрямым сравнением и отталкиваться от того, насколько каждое из исследований применимо к нашему случаю — с пониманием всех ограничений и минусов такого подхода к принятию решения.
Насколько представлены в каждом из исследований пациентки с гормонорезистентным заболеванием, если применять к ним стандартное определение гормонорезистентности?
В рамках данного вопроса важно еще раз проговорить критерии гормонорезистентности метастатического HR+HER2 — рака молочной железы. Это пациентки:
-
у которых случилось прогрессирование заболевания в ходе адъювантной гормонотерапии, либо в течение года после ее завершения (ранний рецидив);
-
у которых случилось прогрессирование заболевания в ходе первой линии гормонотерапии по поводу метастатического рака — в течение шести месяцев от ее начала (первичная резистентность) либо после шести месяцев от начала (вторичная резистентность)
Течение заболевания у нашей пациентки соответствует первичной резистентности, т. к. опухоль не демонстрирует какой бы то ни было чувствительности к проводимой гормонотерапии, о чем свидетельствуют сроки прогрессирования — спустя 4 месяца от начала лечения.
Каковы результаты применения CDK4/6-ингибиторов в отношении пациенток, столкнувшихся в ходе лечения метастатического HR+HER2 — рака молочной железы с первичной гормонорезистентностью?
В PALOMA 3 такому портрету пациентки соответствует всего 21 % от всей популяции пациенток, включенных в исследование. У таких пациенток преимущества от добавления палбоциклиба к фулвестранту в отношении общей выживаемости, к сожалению, не наблюдалось, хотя, очевидно, что судить достоверно об этом сложно, учитывая объем оцениваемой выборки и отсутствие заранее запланированной конечной точки.
Речь здесь даже не столько про эффективность или неэффективность палбоциклиба — а сколько про то, что мы не можем судить сколь нибудь достоверно судить об его эффективности для обрисованной популяции пациенток.
Все это не позволяет быть уверенным в целесообразности применения именно палбоциклиба.
В MONALEESA 3 пациенток с первичной эндокринной резистентностью было всего 78, что также составляет весьма малую часть от всей популяции пациенток, включенных в данное исследование. По причине столь малого объема выборки, продемонстрировать статистически значимые различия — что в отношении беспрогрессивной выживаемости (отношение рисков 0,84 (95%ДИ 0,45–1,57), что в отношении общей выживаемости — при добавлении рибоциклиба к фулвестранту также не удалось. Однако, прослеживалась тенденция к большей общей выживаемости в группе рибоциклиба.
MONARCH 2, также не балует нас количеством пациенток, которые столкнулись с первичной гормонорезистентностью в ходе терапии 1 линии по поводу метастатического рака молочной железы — их было в исследовании всего 59, пациенток с гормонорезистентным заболеванием (первичная и вторичная резистентность — 172).
Как и в MONALEESA 3 и PALOMA 3, в отношении указанной группы пациенток, не прослеживалось статистически значимых различий в беспрогрессивной выживаемости при добавления CDK4/6-ингибитора к фулвестранту (соотношение риска 0.594 (0,327–1,058) p = 0,354). Не обнаружилось их и при сравнении показателей общей выживаемости (несмотря на нумерически большую медиану общей выживаемости в группе абемациклиба).
Значит ли это, что CDK4/6-ингибиторы не должны использоваться для данной группы пациенток? (не совсем)
Интерпретировать выше приведенные данные следует очень аккуратно, т. к. речь идет о подгрупповых анализах с очень небольшим, не репрезентативным количеством пациенток. Подгрупповые анализы не могут служить основанием для принятия решения, они больше подходят для формирования новых статистических гипотез для будущих проспективных исследований.
Однако, их оценка также полезна в рутинной клинической работе, так как иллюстрирует то, что декларируемый выигрыш в выживаемости при добавлении новых препаратов в целом, и CDK4/6- ингибиторов в частности, к сожалению, может несколько отличаться от того, что мы увидим в работе с реальной пациенткой. По крайней мере, в отдельных клинических случаях, как в нашем кейсе, к примеру.
Отталкиваясь от приведенных данных, мы вынуждены констатировать:
-
имеющиеся исследования не позволяют в полной мере судить о реальной эффективности CDK4/6-ингибиторов для пациенток с первичной гормонорезистентностью
-
пациентки с первичной гормонорезистентностью, по всей видимости, среди всех пациенток с HR+HER2 — метастатическим раком молочной железы, возможно получают наименьшую пользу от применения гормонотерапии в сочетании с CDK4/6-ингибиторами
С очень большой осторожностью, мы бы склонялись к выбору между абемациклибом и рибоциклибом для нашей пациентки — по причине продемонстрированной в поданализах MONARCH 2 и MONALEESA 3 тенденции к большей общей выживаемости при применении указанных препаратов в сочетании с фулвестрантом.
Выбор между препаратами в данном случае будет определяться другим аспектом лечения — качеством жизни пациенток при применении указанных ингибиторов. В этом случае уместно экстраполировать данные недавнего мета-анализа, в котором качество жизни пациенток, принимающих рибоциклиб, было несколько выше, чем в группе абемациклиба.
Результаты, полученные при использовании опросников QLQ-C30 и BR23 среди пациенток, получающих терапию рибоциклибом и абемациклибом, свидетельствуют о более высоком качестве жизни пациенток, получающих комбинацию с рибоциклибом, в отношении таких параметров, как:
-
потеря аппетита
-
диарея
-
слабость
-
симптомы в верхней конечности на стороне опухолевого поражения (включая боль, отек и возможность осуществления активных движений)
Отталкиваясь от этих данных, можно было бы склоняться при выборе терапии в сторону рибоциклиба — с пониманием того, что эффективность рибоциклиба и абемациклиба, скорее всего, сопоставима, в то время как качество жизни оказывается более приемлемым при применении рибоциклиба.
(MONALEESA-3) Пояснение
(MONARCH-2) Пояснение
(PALOMA-3)
Прогрессирование на ингибиторах ароматазы выступает поводом для смены гормонотерапии. И наиболее подходящим вариантом из всех существующих и доступных действительно выступает фулвестрант.
Однако существующие данные свидетельствуют об очень скромной эффективности фулвестранта в моно-режиме после прогрессирования на ингибиторах ароматазы:
-
медиана выживаемости без прогрессирования в 3 месяца
-
медиана общей выживаемости в 20 с лишним месяцев (что больше следствие индолентного течения гормоночувствительного рака молочной железы, нежели эффекта фулвестранта)
Можно ли дополнить лечение фулвестрантом добавлением других препаратов? Будет ли это эффективно?
Исследования, в которых оценивалась комбинация CDK4/6 с фулвестрантом свидетельствуют, что мы можем сочетать фулвестрант с одним из CDK4/6-ингибиторов:
Результаты исследований MONALEESA-3, MONARCH-2, PALOMA-3 — медианы выживаемости без прогрессирования; ГТ — гормонотерапия фулвестрантом; мРМЖ — метастатический рак молочной железы.
Применение всех CDk4/6- ингибиторов допустимо российскими клиническими рекомендациями, однако, они не дают ответа на вопрос относительно того, какой вариант терапии будет наиболее оптимальным.
Принимая во внимания условия нашей задачи, мы должны рассматривать течение заболевания у нашей пациентки как гормонорезистентное, в соответствии с стандартным определением эндокринной резистентности, предложенного ESMO/ABC4.
При рассмотрении вопроса выбора CDK4/6-ингибитора в качестве компонента терапии 2 линии и пытаясь отталкиваться от результатов исследований MONARCH 2, MONALEESA 3, PALOMA 3, мы сталкиваемся с рядом препятствий, не позволяющим проводить достоверные сравнения различных CDK4/6 — ингибиторов:
-
отсутствием прямых проспективных сравнений между различными CDK4/6 — ингибиторами в рамках терапии метастатического рака молочной железы во второй линии
-
различные определения гормонорезистентности, которые использовались при включении пациенток в указанные выше исследования.
-
Так, стандартное определение ESMO/ABC4 гормонорезистентного заболевания, определение первичной и вторичной эндокринной резистентности, использовалось в исследовании MONARCH 2.
Между тем, если представить доступность всех вариантов терапии и необходимость сделать между ними выбор, нам невольно придется прибегнуть к непрямым сравнением и отталкиваться от того, насколько каждое из исследований применимо к нашему случаю — с пониманием всех ограничений и минусов такого подхода к принятию решения.
Насколько представлены в каждом из исследований пациентки с гормонорезистентным заболеванием, если применять к ним стандартное определение гормонорезистентности?
В рамках данного вопроса важно еще раз проговорить критерии гормонорезистентности метастатического HR+HER2 — рака молочной железы. Это пациентки:
-
у которых случилось прогрессирование заболевания в ходе адъювантной гормонотерапии, либо в течение года после ее завершения (ранний рецидив);
-
у которых случилось прогрессирование заболевания в ходе первой линии гормонотерапии по поводу метастатического рака — в течение шести месяцев от ее начала (первичная резистентность) либо после шести месяцев от начала (вторичная резистентность)
Течение заболевания у нашей пациентки соответствует первичной резистентности, т. к. опухоль не демонстрирует какой бы то ни было чувствительности к проводимой гормонотерапии, о чем свидетельствуют сроки прогрессирования — спустя 4 месяца от начала лечения.
Каковы результаты применения CDK4/6-ингибиторов в отношении пациенток, столкнувшихся в ходе лечения метастатического HR+HER2 — рака молочной железы с первичной гормонорезистентностью?
В PALOMA 3 такому портрету пациентки соответствует всего 21 % от всей популяции пациенток, включенных в исследование. У таких пациенток преимущества от добавления палбоциклиба к фулвестранту в отношении общей выживаемости, к сожалению, не наблюдалось, хотя, очевидно, что судить достоверно об этом сложно, учитывая объем оцениваемой выборки и отсутствие заранее запланированной конечной точки.
Речь здесь даже не столько про эффективность или неэффективность палбоциклиба — а сколько про то, что мы не можем судить сколь нибудь достоверно судить об его эффективности для обрисованной популяции пациенток.
Все это не позволяет быть уверенным в целесообразности применения именно палбоциклиба.
В MONALEESA 3 пациенток с первичной эндокринной резистентностью было всего 78, что также составляет весьма малую часть от всей популяции пациенток, включенных в данное исследование. По причине столь малого объема выборки, продемонстрировать статистически значимые различия — что в отношении беспрогрессивной выживаемости (отношение рисков 0,84 (95%ДИ 0,45–1,57), что в отношении общей выживаемости — при добавлении рибоциклиба к фулвестранту также не удалось. Однако, прослеживалась тенденция к большей общей выживаемости в группе рибоциклиба.
MONARCH 2, также не балует нас количеством пациенток, которые столкнулись с первичной гормонорезистентностью в ходе терапии 1 линии по поводу метастатического рака молочной железы — их было в исследовании всего 59, пациенток с гормонорезистентным заболеванием (первичная и вторичная резистентность — 172).
Как и в MONALEESA 3 и PALOMA 3, в отношении указанной группы пациенток, не прослеживалось статистически значимых различий в беспрогрессивной выживаемости при добавления CDK4/6-ингибитора к фулвестранту (соотношение риска 0.594 (0,327–1,058) p = 0,354). Не обнаружилось их и при сравнении показателей общей выживаемости (несмотря на нумерически большую медиану общей выживаемости в группе абемациклиба).
Значит ли это, что CDK4/6-ингибиторы не должны использоваться для данной группы пациенток? (не совсем)
Интерпретировать выше приведенные данные следует очень аккуратно, т. к. речь идет о подгрупповых анализах с очень небольшим, не репрезентативным количеством пациенток. Подгрупповые анализы не могут служить основанием для принятия решения, они больше подходят для формирования новых статистических гипотез для будущих проспективных исследований.
Однако, их оценка также полезна в рутинной клинической работе, так как иллюстрирует то, что декларируемый выигрыш в выживаемости при добавлении новых препаратов в целом, и CDK4/6- ингибиторов в частности, к сожалению, может несколько отличаться от того, что мы увидим в работе с реальной пациенткой. По крайней мере, в отдельных клинических случаях, как в нашем кейсе, к примеру.
Отталкиваясь от приведенных данных, мы вынуждены констатировать:
-
имеющиеся исследования не позволяют в полной мере судить о реальной эффективности CDK4/6-ингибиторов для пациенток с первичной гормонорезистентностью
-
пациентки с первичной гормонорезистентностью, по всей видимости, среди всех пациенток с HR+HER2 — метастатическим раком молочной железы, возможно получают наименьшую пользу от применения гормонотерапии в сочетании с CDK4/6-ингибиторами
С очень большой осторожностью, мы бы склонялись к выбору между абемациклибом и рибоциклибом для нашей пациентки — по причине продемонстрированной в поданализах MONARCH 2 и MONALEESA 3 тенденции к большей общей выживаемости при применении указанных препаратов в сочетании с фулвестрантом.
Выбор между препаратами в данном случае будет определяться другим аспектом лечения — качеством жизни пациенток при применении указанных ингибиторов. В этом случае уместно экстраполировать данные недавнего мета-анализа, в котором качество жизни пациенток, принимающих рибоциклиб, было несколько выше, чем в группе абемациклиба.
Результаты, полученные при использовании опросников QLQ-C30 и BR23 среди пациенток, получающих терапию рибоциклибом и абемациклибом, свидетельствуют о более высоком качестве жизни пациенток, получающих комбинацию с рибоциклибом, в отношении таких параметров, как:
-
потеря аппетита
-
диарея
-
слабость
-
симптомы в верхней конечности на стороне опухолевого поражения (включая боль, отек и возможность осуществления активных движений)
Отталкиваясь от этих данных, можно было бы склоняться при выборе терапии в сторону рибоциклиба — с пониманием того, что эффективность рибоциклиба и абемациклиба, скорее всего, сопоставима, в то время как качество жизни оказывается более приемлемым при применении рибоциклиба.
(MONALEESA-3) Пояснение
(MONARCH-2) Пояснение
(PALOMA-3)
Прогрессирование на ингибиторах ароматазы выступает поводом для смены гормонотерапии. И наиболее подходящим вариантом из всех существующих и доступных действительно выступает фулвестрант.
Однако существующие данные свидетельствуют об очень скромной эффективности фулвестранта в моно-режиме после прогрессирования на ингибиторах ароматазы:
-
медиана выживаемости без прогрессирования в 3 месяца
-
медиана общей выживаемости в 20 с лишним месяцев (что больше следствие индолентного течения гормоночувствительного рака молочной железы, нежели эффекта фулвестранта)
Можно ли дополнить лечение фулвестрантом добавлением других препаратов? Будет ли это эффективно?
Исследования, в которых оценивалась комбинация CDK4/6 с фулвестрантом свидетельствуют, что мы можем сочетать фулвестрант с одним из CDK4/6-ингибиторов:
Результаты исследований MONALEESA-3, MONARCH-2, PALOMA-3 — медианы выживаемости без прогрессирования; ГТ — гормонотерапия фулвестрантом; мРМЖ — метастатический рак молочной железы.
Применение всех CDk4/6- ингибиторов допустимо российскими клиническими рекомендациями, однако, они не дают ответа на вопрос относительно того, какой вариант терапии будет наиболее оптимальным.
Принимая во внимания условия нашей задачи, мы должны рассматривать течение заболевания у нашей пациентки как гормонорезистентное, в соответствии с стандартным определением эндокринной резистентности, предложенного ESMO/ABC4.
При рассмотрении вопроса выбора CDK4/6-ингибитора в качестве компонента терапии 2 линии и пытаясь отталкиваться от результатов исследований MONARCH 2, MONALEESA 3, PALOMA 3, мы сталкиваемся с рядом препятствий, не позволяющим проводить достоверные сравнения различных CDK4/6 — ингибиторов:
-
отсутствием прямых проспективных сравнений между различными CDK4/6 — ингибиторами в рамках терапии метастатического рака молочной железы во второй линии
-
различные определения гормонорезистентности, которые использовались при включении пациенток в указанные выше исследования.
-
Так, стандартное определение ESMO/ABC4 гормонорезистентного заболевания, определение первичной и вторичной эндокринной резистентности, использовалось в исследовании MONARCH 2.
Между тем, если представить доступность всех вариантов терапии и необходимость сделать между ними выбор, нам невольно придется прибегнуть к непрямым сравнением и отталкиваться от того, насколько каждое из исследований применимо к нашему случаю — с пониманием всех ограничений и минусов такого подхода к принятию решения.
Насколько представлены в каждом из исследований пациентки с гормонорезистентным заболеванием, если применять к ним стандартное определение гормонорезистентности?
В рамках данного вопроса важно еще раз проговорить критерии гормонорезистентности метастатического HR+HER2 — рака молочной железы. Это пациентки:
-
у которых случилось прогрессирование заболевания в ходе адъювантной гормонотерапии, либо в течение года после ее завершения (ранний рецидив);
-
у которых случилось прогрессирование заболевания в ходе первой линии гормонотерапии по поводу метастатического рака — в течение шести месяцев от ее начала (первичная резистентность) либо после шести месяцев от начала (вторичная резистентность)
Течение заболевания у нашей пациентки соответствует первичной резистентности, т. к. опухоль не демонстрирует какой бы то ни было чувствительности к проводимой гормонотерапии, о чем свидетельствуют сроки прогрессирования — спустя 4 месяца от начала лечения.
Каковы результаты применения CDK4/6-ингибиторов в отношении пациенток, столкнувшихся в ходе лечения метастатического HR+HER2 — рака молочной железы с первичной гормонорезистентностью?
В PALOMA 3 такому портрету пациентки соответствует всего 21 % от всей популяции пациенток, включенных в исследование. У таких пациенток преимущества от добавления палбоциклиба к фулвестранту в отношении общей выживаемости, к сожалению, не наблюдалось, хотя, очевидно, что судить достоверно об этом сложно, учитывая объем оцениваемой выборки и отсутствие заранее запланированной конечной точки.
Речь здесь даже не столько про эффективность или неэффективность палбоциклиба — а сколько про то, что мы не можем судить сколь нибудь достоверно судить об его эффективности для обрисованной популяции пациенток.
Все это не позволяет быть уверенным в целесообразности применения именно палбоциклиба.
В MONALEESA 3 пациенток с первичной эндокринной резистентностью было всего 78, что также составляет весьма малую часть от всей популяции пациенток, включенных в данное исследование. По причине столь малого объема выборки, продемонстрировать статистически значимые различия — что в отношении беспрогрессивной выживаемости (отношение рисков 0,84 (95%ДИ 0,45–1,57), что в отношении общей выживаемости — при добавлении рибоциклиба к фулвестранту также не удалось. Однако, прослеживалась тенденция к большей общей выживаемости в группе рибоциклиба.
MONARCH 2, также не балует нас количеством пациенток, которые столкнулись с первичной гормонорезистентностью в ходе терапии 1 линии по поводу метастатического рака молочной железы — их было в исследовании всего 59, пациенток с гормонорезистентным заболеванием (первичная и вторичная резистентность — 172).
Как и в MONALEESA 3 и PALOMA 3, в отношении указанной группы пациенток, не прослеживалось статистически значимых различий в беспрогрессивной выживаемости при добавления CDK4/6-ингибитора к фулвестранту (соотношение риска 0.594 (0,327–1,058) p = 0,354). Не обнаружилось их и при сравнении показателей общей выживаемости (несмотря на нумерически большую медиану общей выживаемости в группе абемациклиба).
Значит ли это, что CDK4/6-ингибиторы не должны использоваться для данной группы пациенток? (не совсем)
Интерпретировать выше приведенные данные следует очень аккуратно, т. к. речь идет о подгрупповых анализах с очень небольшим, не репрезентативным количеством пациенток. Подгрупповые анализы не могут служить основанием для принятия решения, они больше подходят для формирования новых статистических гипотез для будущих проспективных исследований.
Однако, их оценка также полезна в рутинной клинической работе, так как иллюстрирует то, что декларируемый выигрыш в выживаемости при добавлении новых препаратов в целом, и CDK4/6- ингибиторов в частности, к сожалению, может несколько отличаться от того, что мы увидим в работе с реальной пациенткой. По крайней мере, в отдельных клинических случаях, как в нашем кейсе, к примеру.
Отталкиваясь от приведенных данных, мы вынуждены констатировать:
-
имеющиеся исследования не позволяют в полной мере судить о реальной эффективности CDK4/6-ингибиторов для пациенток с первичной гормонорезистентностью
-
пациентки с первичной гормонорезистентностью, по всей видимости, среди всех пациенток с HR+HER2 — метастатическим раком молочной железы, возможно получают наименьшую пользу от применения гормонотерапии в сочетании с CDK4/6-ингибиторами
С очень большой осторожностью, мы бы склонялись к выбору между абемациклибом и рибоциклибом для нашей пациентки — по причине продемонстрированной в поданализах MONARCH 2 и MONALEESA 3 тенденции к большей общей выживаемости при применении указанных препаратов в сочетании с фулвестрантом.
Выбор между препаратами в данном случае будет определяться другим аспектом лечения — качеством жизни пациенток при применении указанных ингибиторов. В этом случае уместно экстраполировать данные недавнего мета-анализа, в котором качество жизни пациенток, принимающих рибоциклиб, было несколько выше, чем в группе абемациклиба.
Результаты, полученные при использовании опросников QLQ-C30 и BR23 среди пациенток, получающих терапию рибоциклибом и абемациклибом, свидетельствуют о более высоком качестве жизни пациенток, получающих комбинацию с рибоциклибом, в отношении таких параметров, как:
-
потеря аппетита
-
диарея
-
слабость
-
симптомы в верхней конечности на стороне опухолевого поражения (включая боль, отек и возможность осуществления активных движений)
Отталкиваясь от этих данных, можно было бы склоняться при выборе терапии в сторону рибоциклиба — с пониманием того, что эффективность рибоциклиба и абемациклиба, скорее всего, сопоставима, в то время как качество жизни оказывается более приемлемым при применении рибоциклиба.
(MONALEESA-3) Пояснение
(MONARCH-2) Пояснение
(PALOMA-3)
Прогрессирование заболевания при применении нестероидных ингибиторов ароматазы при HR+ раке молочной железы может служить показанием для проведения терапии по схеме экземестан (стероидный ингибитор ароматазы) + эверолимус (mTOR-ингибитор). Об этом свидетельствуют существующие рекомендации, а также результаты исследования BOLERO-2.
Однако в сравнении с исследованиями, посвященными изучению эффективности применения CDK4/6-ингибиторам в сочетании с фулвестрантом (MORACH-2, MONALEESA-3), преимущество в выживаемости без прогрессирования в BOLERO-2 оказывается куда меньшим.
Результаты исследований MONALEESA-3, MONARCH-2, PALOMA-3 — медианы выживаемости без прогрессирования; ГТ — гормонотерапия фулвестрантом; мРМЖ — метастатический рак молочной железы.
Результаты исследования BOLERO-2 — финальный анализ выживаемости без прогрессирования при применении эверолимуса с экземестаном в сравнении с плацебо + экземестан.
Вторым доводом против комбинации эверолимуса с экземестаном выступает отсутствие значимого улучшения общей выживаемости при применении комбинации в сравнении с экземестаном + плацебо:
Третьим доводом выступает крайне низкая частота объективного ответа, которая наблюдается при применении указанной комбинации: в BOLERO-2 она составляла всего 9,5%. Ввиду того, что у пациентки имеются симптомы, обусловленные прогрессированием опухолевого заболевания (одышка в связи с гидротораксом, который возник на фоне опухолевого поражения плевры), нам следует подумать о вариантах терапии с более высокой частотой объективного ответа:
-
48,1% в MONARCH-2 при применении абемациклиба с фулвестрантом
-
40,9% в MONALEESA-3 при применении рибоциклиба с фулвестрантом
-
24,9% в PALOMA-3 при применении палбоциклиба с фулвестрантом
(BOLERO-2)
Литература и источники
- 1. Исследование Fulvestrant in women with advanced breast cancer after progression on prior aromatase inhibitor therapy: North Central Cancer Treatment Group Trial N0032
- 2. Ссылка на пояснение (MONARCH-2)
- 3. Ссылка на пояснение (PALOMA-3)
- 4. Ссылка на пояснение (MONALEESA-3)
- 5. 4th ESO—ESMO International Consensus Guidelines for Advanced Breast Cancer (ABC 4), 2018
- 6. Исследование Endocrine-Resistant Breast Cancer: Mechanisms and Treatment, 2020
- 7. Исследование Quality of life with ribociclib versus abemaciclib as first-line treatment of HR+/HER2− advanced breast cancer: a matching-adjusted indirect comparison, 2023
- 8. Ссылка на пояснение (BOLERO-2)
- 9. Исследование Everolimus plus exemestane for hormone-receptor-positive, human epidermal growth factor receptor-2-negative advanced breast cancer: overall survival results from BOLERO-2, 2014
- 10. James Waisman, New Insights in the Hormone Therapy for Breast Cancer, 2016